Spinal Tumors
A tumor is an abnormal growth of tissues in the body. This can occur anywhere in the body. Broadly speaking, there are two types of tumors; benign and malignant.
Video Testimonials

What is a tumor?
How do spinal tumors present?
Most of the tumors present with pain. Pain is classically present even at rest; more typically patient complains of pain that awakens him at night. In addition, patients with vertebral tumors [i.e. tumors involving the bones of the back] will complain of activity-related pain as well. Rarely, tumors within the spinal cord may present with just weakness in the limbs; or clumsiness while walking; or difficulty to control urination or defecation. Some tumors at the end of the spinal cord can even present as swellings at the lower back. Tumors in childhood, such as the “osteoid osteoma” can lead to deformity of the back.
How does the doctor or spine specialist diagnose this condition?
An accurate history is the most important diagnostic tool. The way the pain started and progressed; specific aggravating and relieving factors of pain; distribution of pain over your body, associated complaints such as weakness or numbness over the lower limbs would be important guides. A very important history relates to difficulty in controlling or passing urine.
A detailed clinical examination is done by your spine consultant that involves assessment of spinal motion, assessment of your neurology, gait analysis and certain special tests would follow then.
Though this process of history-taking and clinical examination may appear boring and long-drawn, it is the most crucial part towards prescribing the correct treatment to you. So, it is essential to cooperate with your Spine Consultant throughout this entire procedure, which gives more information to the doctor regarding your ailment than any other investigation on earth
How does the spine specialist or surgeon investigate for spinal tumors?
On the first visit, if there were definite telltale evidence of spinal tumor, the best spine specialist would recommend x-rays as well as some basic blood investigations such as hemoglobin, erythrocyte sedimentation rate [ESR], CRP, serum calcium, phosphorus and alkaline phosphatase.
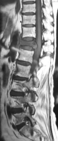
Based on these tests, or sometimes, in the presence of some very significant signs or symptoms, you may be asked to undergo MRI scanning. Plain x-rays demonstrate bony features; while MRI demonstrates the spinal cord, its nerve roots, the intervertebral disc between the two bones of the spine. Both these tests are complimentary in nature; doing one does not necessarily mean that the other one is not needed.
Based on individual cases, additional investigations may be ordered by the spine consultant including specialized blood investigations to identify involvement of other vital organs of the body, bone scan to identify the involvement of any other part of the bony skeleton, CT scan of the chest, ultrasound of the abdomen and biopsy of the waist bone. Ladies may need to undergo gynecological examination.
Is there any nonsurgical treatment for spinal tumors?
If the diagnosis of spinal tumor is confirmed, nonsurgical treatment options are unfortunately limited. In very advanced stages of the disease, when life expectancy is extremely short [<6 months], even surgical treatment might not be a viable option. In certain tumors such as “multiple myeloma”, radiotherapy may be a viable nonsurgical option.
What is the nature of surgery?
The nature of surgery is decided based on the nature of the tumor, i.e. benign or malignant as also the location of the tumor, i.e. within the bones or within the spinal cord. If malignant, involvement of the rest of the body would be another important guide to plan further management. Based on these factors, the tumor may be removed either fully or partly. The consequent defect in the spine would be reconstructed with the patient’s own bone harvested from the waist region, or with artificial bone, or with bone cement, or with metal spacers along with rods and screws. The exact nature of reconstruction is decided on a case-to-case basis. Surgical intervention may be followed with some adjuvant treatment in the form of radiotherapy or chemotherapy as deemed necessary.
Is it a major surgery?
We were told that we should not get a spine surgery done as it can lead to loss of control of urination and defecation! Or, in other words, what are the risks involved? Everything in life carries some inherent risk associated with it. The option for surgery would be offered only if the benefits of surgery significantly outweigh the risks. Rather than asking as to what are the risks of going in for surgery, it would be more prudent to ask as to what are the risks and benefits of getting the surgery done as compared to not getting the surgery done? Spine surgery has had a lot of advances in the past decade or two; there are better imaging facilities like MRI, better surgical instruments, surgical microscope to aid vision in the surgery, computer navigation system to further increase the safety level of surgery, better training and information in an overall sense making spine surgery no longer the taboo that it once was! So, if you have a problem related to spine and that genuinely requires surgery contact the best spine surgeon in Bangalore, India as there is no point in tying yourself down to the bed for days or months on end; because ultimately life is mobility and mobility is life! Discuss the details of your surgery and its attendant risks with your doctor to quell any fears and to clear any and every doubt of yours! If you so desire, your doctor can even arrange to give you references of patients who have undergone similar surgeries.